JUN’S NEWS VOL.12 テーマ「大臼歯の遠心移動」
[2015年07月01日]

JUNS'NEWS  VOL.12を作製しました!

テーマは「大臼歯の遠心移動」です。



 

 

 

 

 

大臼歯の遠心移動とは、奥歯を後ろへ移動させる事です。大臼歯を遠心へ誘導できる矯正装置も多数あります。今月号は、“大臼歯の遠心移動”についてご紹介致しましょう!その他として、「ペンデュラムアプライアンス」や「ディスタルジェット」等もありますが、当クリニックでは反作用が比較的少ないものをおすすめさせて頂いております。

 

【1】ヘッドギア(EOA)

上顎前突「出っ歯」の改善を目的とする装置で、奥歯を遠心(後方)に送る装置です(写真下)。



 

 

 

 

 

上顎の成長抑制のほか、成長期の段階で上顎の奥歯を後方に動かしたり、歯列全体を後方へ移動させる治療を行う事が出来ます。歯や顎に適正な力をかけることで、顎の骨の成長コントロールや歯の移動を行います。へッドギアの装着方法は、上の奥歯(第一大臼歯)に装着した固定式の装置(バンド)に



 

 

 

 

 

 

フェイスボウと呼ばれる太いワイヤーをご自身で装着し、これをネックバンドと呼ばれるゴムで引っぱります。





 

 

 

 

 

口腔内の金属バンド以外は使用しない時に取り外し可能です。

 

 

【2】カリエール
上顎前突「出っ歯」の改善を目的とする装置で、上顎左右犬歯から大臼歯を遠心移動する為に使用します。



 

 

 

 

 

 

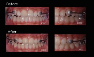
“カリエール”を口腔内に装着し、下顎左右第一大臼歯の装置とカリエールに顎間ゴムをかけます。



 

 

 

 

 

 

顎間ゴムをかけることで上顎は後方へ、下顎は前方へ誘導される力がかかります。この作用で上下顎の顎関係の改善をはかります(After写真は約1ヶ月後)。

犬歯から第一大臼歯にかけて遠心移動し、上下顎がしっかり咬み合う所まで誘導できました。カリエールを装着する事で後の矯正治療で行うブラケット装置での治療期間を短縮することができます。

 

【3】TAD (矯正用インプラントアンカー)

矯正用インプラントアンカーと呼ばれる小さなネジのようなチタンスクリューを顎の骨に埋め込み、



 

 

 



 

 

 

 

 

アンカーを固定源とし大臼歯を遠心へ動かしていく治療です。インプラントアンカー1本埋入に要する時間は5〜10分程度で、矯正治療が終了したら口腔内から撤去します。通常のブラケットとワイヤーだけの矯正治療では、引っ張る力がワイヤーとつながった各々の歯にかかるので意図しない方向へ移動する事もあります。その点、矯正用インプラントアンカーを用いると歯を支点にする時と異なり、固定源が不動(移動する事がない)なので効率よく歯を動かす事が可能となります。



 

 

 

 

 

 

 



 

 

 

 

 

 

 

写真上が埋入時、写真下が3月後です。上顎犬歯を基準とし比較してみると全体的に遠心移動し上顎前突(出っ歯)も改善された事がよくわかります。上下顎の隙間が縮まりしっかりと咬めてますね。

 

純 矯正・歯科クリニック


TOP[0]

(C) 純 矯正・歯科クリニック