小児矯正(第一期治療)よりラビアルブラケット装置(ライゲーションラビアル):第二期治療へ移行10代女性M様矯正症例

女性M様「深い咬み合わせを治したい方」の小児矯正(第一期治療)よりラビアルブラケット装置(ライゲーションラビアル)第二期治療へ移行矯正症例

 

①主訴:歯が大きい

②診断名:叢生を伴う過蓋咬合

③年齢:7歳0ヶ月(矯正精密検査時)

④矯正装置:接着型急速拡大装置、緩徐型拡大装置、咬合挙上板、マルチブラケット矯正装置

⑤抜歯部位:非抜歯

⑥動的矯正治療期間:第一期治療 約7年 第二期治療  約2年5ヶ月

⑦動的矯正治療終了までの通院回数:97回

⑧治療費:

初診料 5,500円 矯正精密検査料 22,000円 矯正診断料 22,000円

ライゲーションラビアルトータルフィー 990,000円(全て税込)

(契約当時)

⑨リスク・副作用

:歯痛 ブラッシング不足によるう蝕 口内炎と潰瘍 歯肉退縮 歯根吸収 後戻り

 

 

初診時の口腔内写真です。

初診時ではまだ時期早々でしたので定期的にメンテナンスに来院いただき経過観察を行い、時期をみて矯正精密検査をし、矯正治療を始めました。

過蓋咬合とは噛み合わせが深く、上の前歯が下の前歯を覆い、下の歯が見えないような不正咬合の事です。深く噛みこんでいる事により歯茎や歯の根元を傷つけてしまう等の影響を及ぼしてしまいます。

お子さんの頃にベースを作る事が第二期治療と呼ばれる矯正治療の期間を大幅に減少させる事ができます。

 

上顎に接着型急速拡大装置装着した時の口腔内写真です。

 

乳臼歯の噛み合わせる部分を“レジン”というプラスチックで覆い、咬合挙上と上顎第一大臼歯の挺出を促しながら、上顎骨を側方に拡大を行います。

朝・晩2回、装置のネジを巻いて頂き、拡大終了後の口腔内写真とパノラマレントゲン写真です。

口腔内写真でもパノラマレントゲン写真でも上顎の骨(上顎正中口蓋縫合部)ごと幅が拡がっている事がわかります。

 

顎内で半年程固定をしてから装置の除去を行います。

拡大装置により永久歯の萌出スペース確保出来ていた為、開いていたスペースも側切歯()の萌出と共にキレイに閉じております。

噛み合わせもあがり矯正治療開始時より下の前歯が姿を現してきてます。

 

M様は将来的に下顎にも叢生が予想される為、緩徐拡大装置(シュワルツの拡大床)を使用します。

こちらは取り外し可能な装置であり、装置の中心部にあるネジを決められた日時に↑の方向に回転させ、口腔内に装着して頂く事で徐々に歯列が拡大します

拡大終了後の口腔内写真です。

M様、前回下顎の拡大が完了しましたので過蓋咬合の改善を目指します。

 

咬合拳上板といい、装置前方部にあるブロックを咬む事で下の前歯が圧下(沈み込み)しブロックで咬みあわなくなった奥歯が咬む方向へ挺出(伸びる)事で相対的に咬み合わせの深さを改善します。

 

第二大臼歯萌出まで経過観察を行い、成長終了後に抜歯を含めた再診断を行います。

 

小児期(子供の頃)からしっかりと顎の位置関係や歯の生え変わりを経過観察し、必要に応じた矯正治療を行うことで、最終的に装着するマルチブラケット装置の装着期間を短くすることが可能となります。

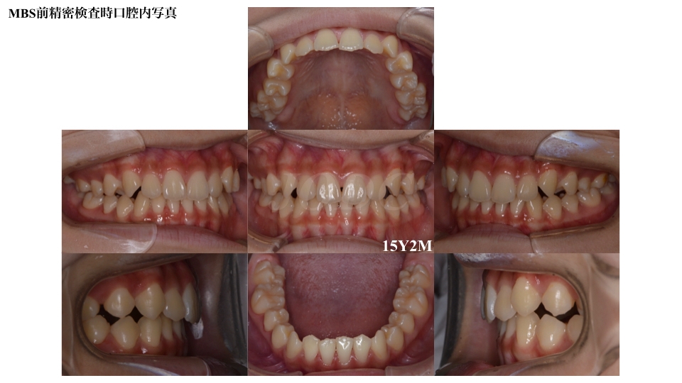
第二大臼歯が萌出完了し、成長終了しましたのでMBS前検査(第二期治療前検査)を行いました。

MBS前検査(第二期治療前検査)の結果から保護者の方の同意を得て、非抜歯で第二期治療を開始です。

上下顎MBS装置完了時口腔内写真です。

上下顎に装置をつけてから約5ヶ月後のレベリングステージ(歯のデコボコを改善しながら歯の高さを合わせる段階)です。

 

スペースクロージングステージです。ワイヤーを用い、ご自身でかけて頂くゴム(顎間ゴム)と併用しスペースの閉鎖を行いました。

 

個々の歯の詳細な配列を行うディテーリングステージです。

 

動的(歯を動かす治療)治療を終了し、ついにブラケットを口腔内より撤去を行いました。

 

現在、自分で取り外しが出来るマウスピース型の保定装置を使用して頂いております。

ブラケットを外した直後が後戻りといい元の位置に歯が戻りやすい状態ですので、頑張って保定装置を使用してください。

 

 

矯正治療に起こりうる一般的なリスクと副作用についてはこちら
費用の一覧についてはこちら