小児矯正(第一期治療)よりフルリンガルブラケット装置(セルフライゲーションリンガル):第二期治療へ移行10代女性K様矯正症例
女性K様「デコボコを治したい方」の小児矯正(第一期治療)よりフルリンガルブラケット装置(セルフライゲーションリンガル)第二期治療へ移行矯正症例
①主訴:歯並びがデコボコしている
②診断名:左側中切歯の反対咬合を伴う叢生
③年齢:9歳2ヶ月(矯正精密検査時)
④矯正装置:接着型急速拡大装置、マルチブラケット矯正装置
⑤抜歯部位:非抜歯
⑥動的治療期間:第一期治療 約5年 第二期治療 約1年3ヶ月
⑦治療費:
初診料 5,500円 矯正精密検査料 22,000円 矯正診断料 22,000円
フルリンガルトータルフィー 1,100,000円(契約当時) (全て税込)
⑧リスク・副作用
:歯痛 ブラッシング不足によるう蝕 口内炎と潰瘍 発音障害 歯肉退縮 歯根吸収 後戻り
初診時の口腔内写真です。
第一期治療を行いお子さんの頃にベースを作る事で第二期治療と呼ばれる矯正治療の期間を大幅に減少させる事ができます。
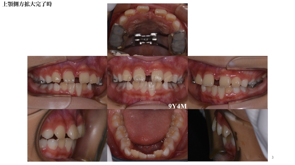
上顎に接着型急速拡大装置装着時口腔内写真です。
乳臼歯の噛み合わせる部分を“レジン”というプラスチックで覆い、咬合挙上と上顎第一大臼歯の挺出を促しながら、上顎骨を側方に拡大を行います。
朝・晩2回、装置のネジを巻いて頂きます。
約10日間程でこのように隙間ができました
このまま顎内で半年程固定をしてから装置の除去を行います。
急速拡大装置により左側中切歯の反対咬合も改善され、開いていたスペースもキレイに閉じております。
第二大臼歯萌出まで経過観察を行い、成長終了後に抜歯を含めた再診断を行います。
小児期(子供の頃)からしっかりと顎の位置関係や歯の生え変わりを経過観察し、必要に応じた矯正治療を行うことで、最終的に装着するマルチブラケット装置の装着期間を短くすることが可能となります。
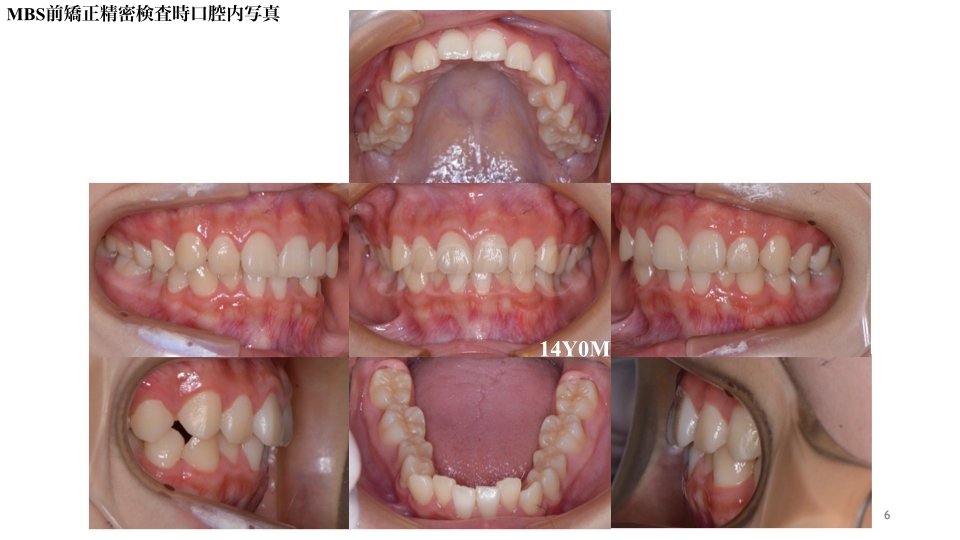
第二大臼歯が萌出完了し、成長終了しましたのでMBS前検査(第二期治療前検査)を行いました。
MBS前検査(第二期治療前検査)の結果から保護者の方の同意を得て、非抜歯で第二期治療を開始しました。
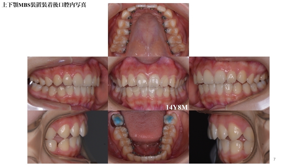
上下顎MBS装置完了時口腔内写真です。
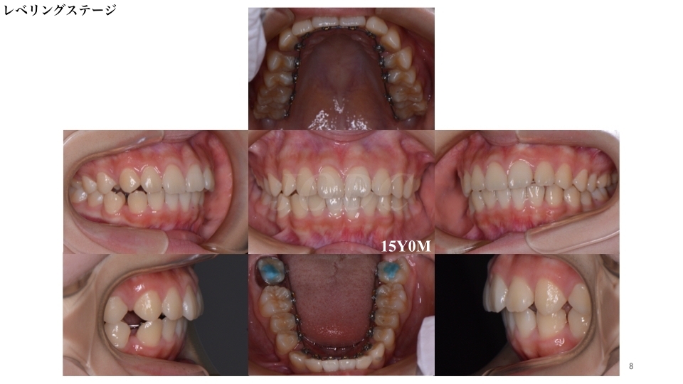
上下顎に装置をつけてから約4ヶ月後のレベリングステージ(歯のデコボコを改善しながら歯の高さを合わせる段階)です。
スペースクロージングステージです。
ワイヤーを用い、ご自身でかけて頂くゴム(顎間ゴム)と併用しスペースの閉鎖を行いました。
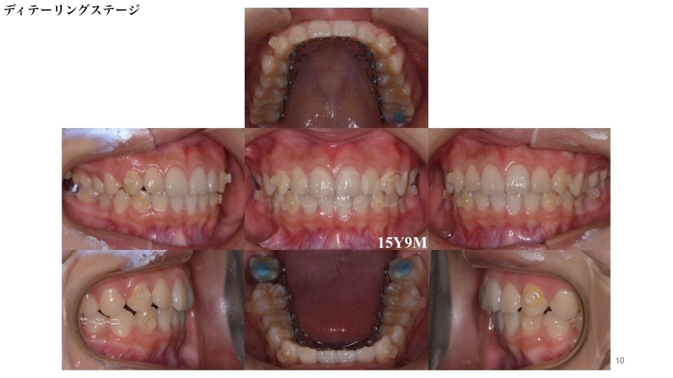
個々の歯の詳細な配列を行うディテーリングステージです。
動的(歯を動かす治療)治療を終了し、ついにブラケットを口腔内より撤去を行いました。
現在、自分で取り外しが出来るマウスピース型の保定装置を使用して頂いております。
ブラケットを外した直後が後戻りといい元の位置に歯が戻りやすい状態ですので、頑張って保定装置を使用してください。


















