小児矯正(第一期治療)よりラビアルブラケット装置(ライゲーションラビアル):第二期治療へ移行10代女性K様矯正症例
2026女性K様「デコボコを治したい方」の小児矯正(第一期治療)よりラビアルブラケット装置(ライゲーションラビアル)第二期治療移行矯正症例
①主訴:歯並びがデコボコ
②診断名:下顎前突を伴う叢生
③年齢:9歳2ヶ月(矯正精密検査時)
④矯正装置:急速拡大装置、チンキャップ、マルチブラケット矯正装置
⑤抜歯部位:小臼歯4本(上顎両側第二小臼歯、下顎両側第一小臼歯)
⑥動的治療期間:第一期治療 約8年 第二期治療 約2年4ヶ月
⑦治療費:
初診料 5,500円 矯正精密検査料 22,000円 矯正診断料 22,000円
ライゲーションラビアルトータルフィー 990,000円(契約当時)
(全て税込)
⑧リスク・副作用
:歯痛 ブラッシング不足によるう蝕 口内炎と潰瘍 歯肉退縮 歯根吸収 後戻り
初診時の口腔内写真です。
上顎に急速拡大装置装着時口腔内写真です。
上顎前歯6本にブラケット装置装着を行い、前歯のデコボコの改善を図ります。
第二大臼歯萌出までチンキャップ(下顎骨の成長を抑制する装置)を使用していただきながら経過観察、成長終了後に抜歯を含めた再診断を行います。
小児期(子供の頃)からしっかりと顎の位置関係や歯の生え変わりを経過観察し、必要に応じた矯正治療を行うことで、最終的に装着するマルチブラケット装置の装着期間を短くすることが可能となります。
第二大臼歯が萌出完了し、成長終了しましたのでMBS前検査(第二期治療前検査)を行いました。
MBS前検査(第二期治療前検査)の結果から保護者の方の同意を得て、小臼歯を4本抜歯し第二期治療を開始する方針です。
上下顎MBS装置完了時口腔内写真です。
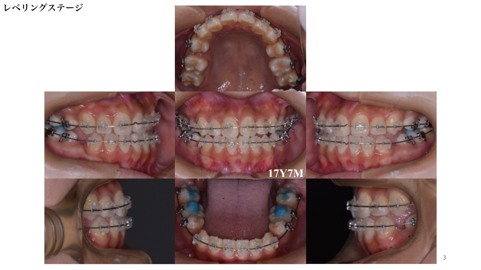
上下顎に装置をつけてから約3ヶ月後のレベリング(デコボコの改善)ステージです。
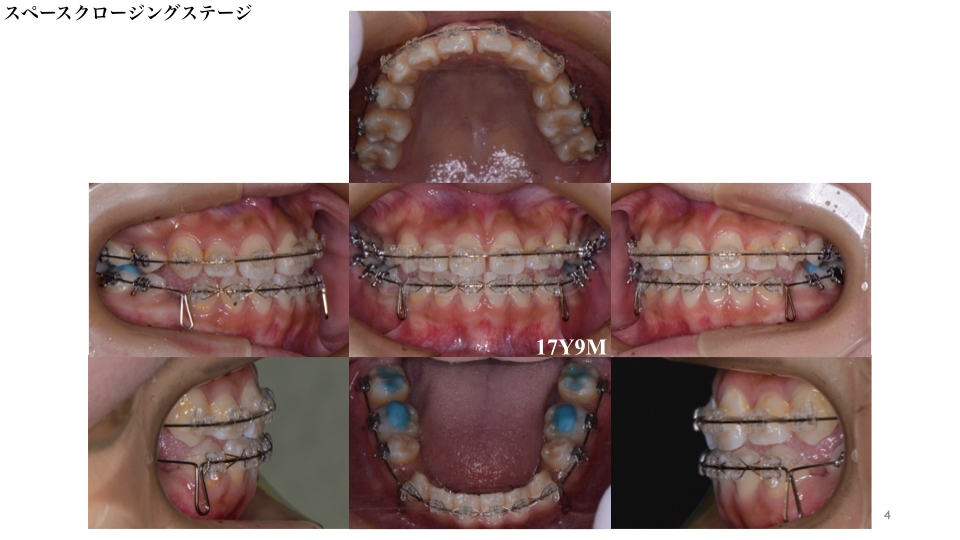
スペースクロージングステージです。
ワイヤーを用い、ご自身でかけていただくゴム(顎間ゴム)と併用し抜歯後のスペースの閉鎖を行いました。
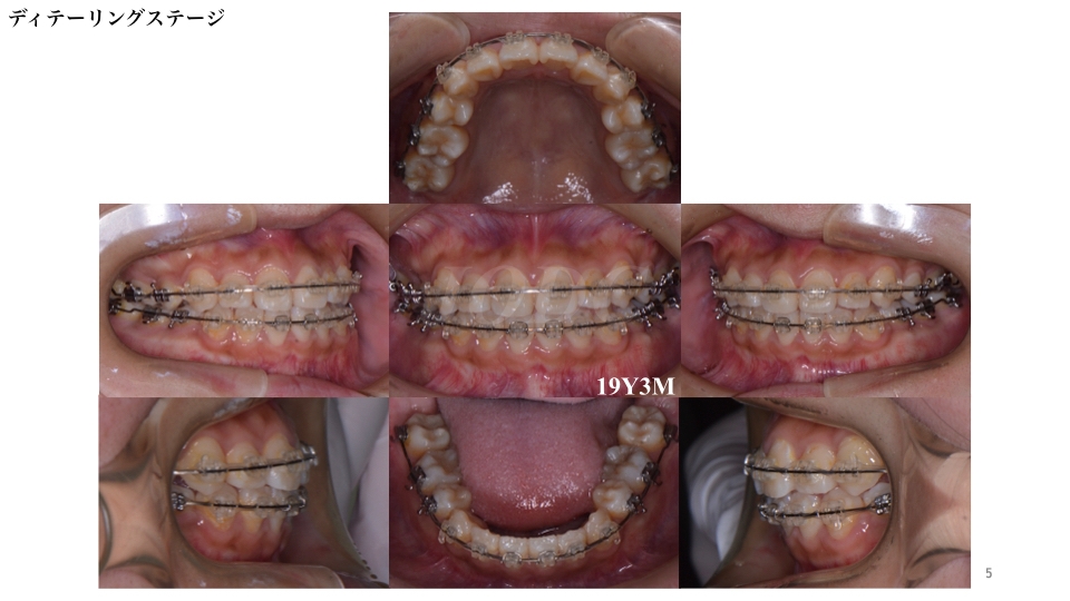
個々の歯の詳細な配列を行うディテーリングステージです。
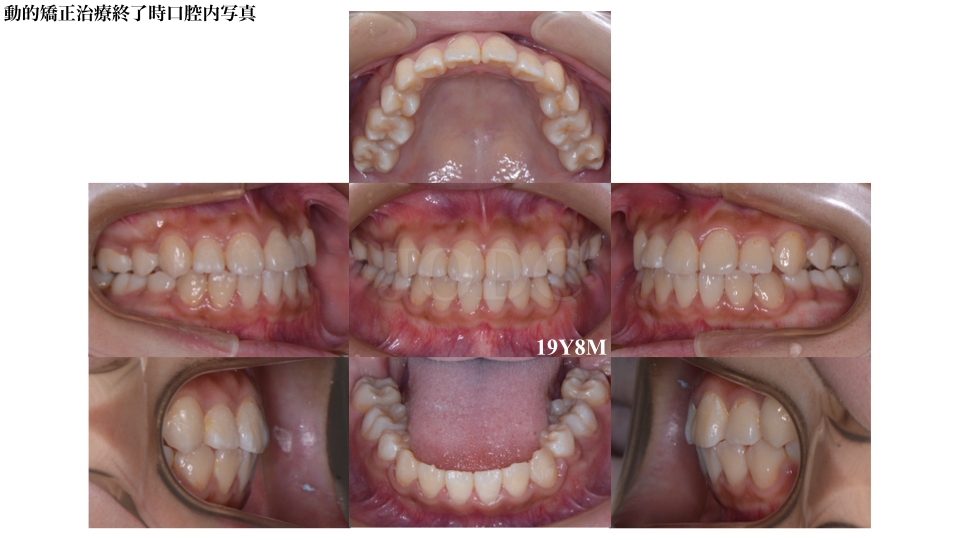
動的(歯を動かす治療)治療を終了し、ついにブラケットを口腔内より撤去を行いました。
現在、自分で取り外しが出来るマウスピース型の保定装置を使用して頂いております。
ブラケットを外した直後が後戻りといい元の位置に歯が戻りやすい状態ですので、頑張って保定装置を使用しましょうね♪
・矯正治療に起こりうる一般的なリスクと副作用についてはこちら・費用の一覧についてはこちら


















