フルリンガルブラケット矯正装置(セルフライゲーションリンガル)20代女性M様矯正症例
20代女性M様「前歯がでているのを治したい方」のフルリンガルブラケット矯正装置(セルフライゲーションリンガル)矯正症例
①主訴:出っ歯が気になる
②診断名:下顎後方位を伴う叢生
③年齢:29歳9ヶ月(矯正精密検査時)
④矯正装置:リンガルアーチ、マルチブラケット矯正装置
⑤抜歯部位:小臼歯4本(上下顎両側第一小臼歯)
⑥動的治療期間:約2年0ヶ月
⑦治療費:
初診料 5,500円 矯正精密検査料 22,000円 矯正診断料 22,000円
フルリンガル施術料 1,100,000円(契約当時) (全て税込)
⑧リスク・副作用
:歯痛 ブラッシング不足によるう蝕 口内炎と潰瘍 発音障害 歯肉退縮 歯根吸収 後戻り
初診時の口腔内写真です。
上顎左右側第一小臼歯抜歯後、リンガルアーチを装着し犬歯の遠心(後方)移動を開始しました。
上下顎MBS装置装着完了時口腔内写真です。
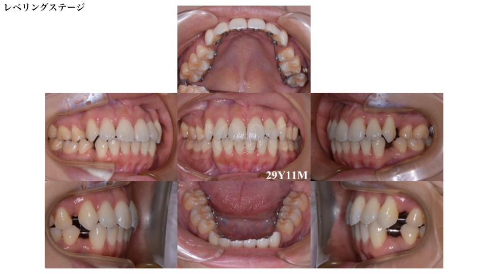
上下顎に装置を装着してから約7ヶ月後のレベリングステージ(歯のデコボコを改善しながら歯の高さを合わせる段階))ステージです。
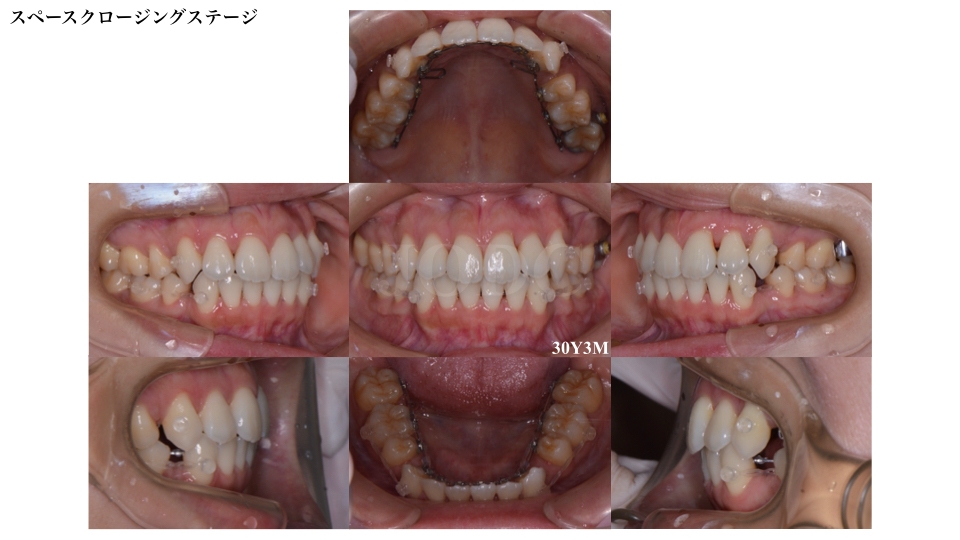
スペースクロージングステージです。
ワイヤーを用い、ご自身でかけていただくゴム(顎間ゴム)と併用し抜歯後のスペースの閉鎖を行いました。
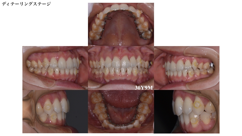
個々の歯の詳細な配列を行うディテーリングステージです。
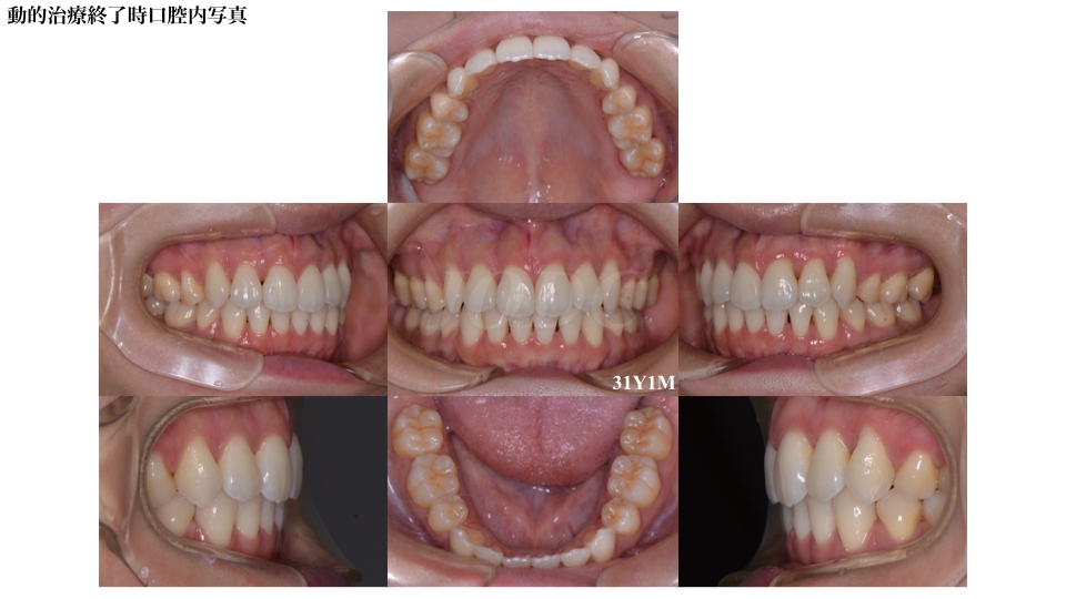
動的(歯を動かす治療)治療を終了し、ついにブラケットを口腔内より撤去を行いました。
現在、自分で取り外しが出来るマウスピース型の保定装置を使用して頂いております。
ブラケットを外した直後が後戻りといい元の位置に歯が戻りやすい状態ですので、頑張って保定装置を使用してください。
・矯正治療に起こりうる一般的なリスクと副作用についてはこちら
・費用の一覧についてはこちら















