ハーフリンガルブラケット矯正装置(セルフライゲーションリンガル&セルフライゲーションラビアル)20代女性M様矯正症例

20代女性M様「八重歯が気になる方」のハーフリンガルブラケット矯正装置(セルフライゲーションリンガル&セルフライゲーションラビアル)矯正症例

 

①主訴:八重歯が気になる

②診断名:下顎後方位を伴う叢生

③年齢:22歳10ヶ月(矯正精密検査時)

④矯正装置:リンガルアーチ、マルチブラケット矯正装置

⑤抜歯部位:小臼歯4本(上顎両側第一小臼歯、下顎両側第二小臼歯)

⑥動的治療期間:約2年3ヶ月

⑦治療費:

初診料 5,500円 矯正精密検査料 22,000円 矯正診断料 22,000円

ハーフリンガルトータルフィー 990,000円(全て税込)

⑧リスク・副作用

:歯痛 ブラッシング不足によるう蝕 口内炎と潰瘍 発音障害 歯肉退縮 歯根吸収 後戻り

 

 

初診時の口腔内写真です。

 

 

上顎左右第一小臼歯抜歯後、リンガルアーチを装着し犬歯の遠心(後方)移動時の口腔内写真です。

 

上下顎MBS装置装着後口腔内写真です。

 

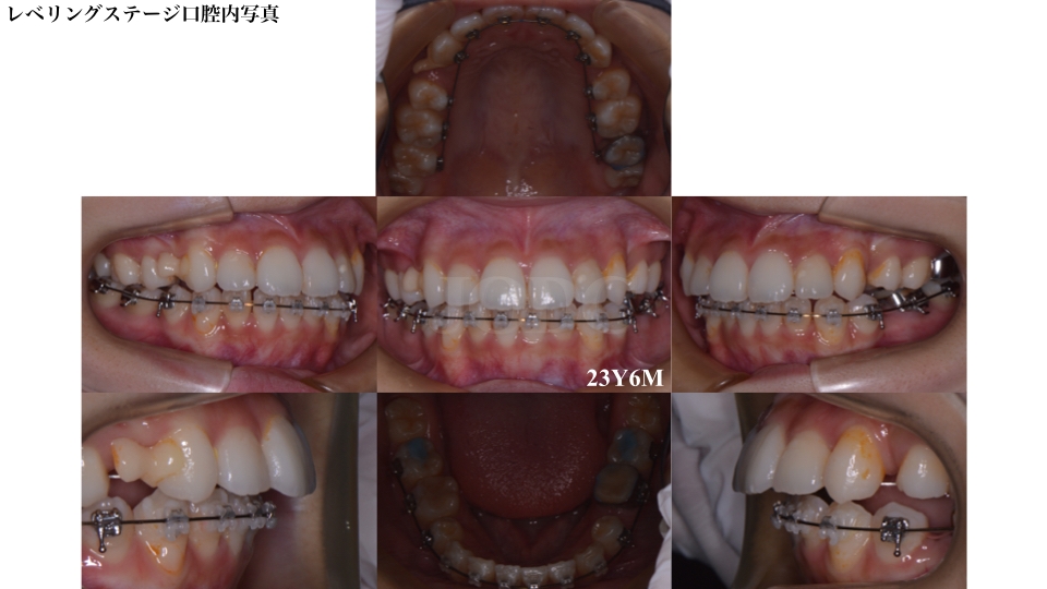
レベリング(デコボコの改善)ステージです。

 

スペースクロージングステージです。ワイヤーを用い、ご自身でかけていただくゴム(顎間ゴム:)と併用し抜歯後のスペースの閉鎖を行いました。

 

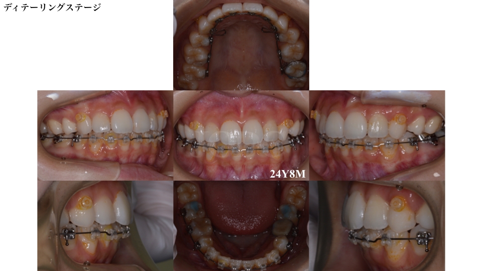
個々の歯の詳細な配列を行うディテーリングステージです。

 

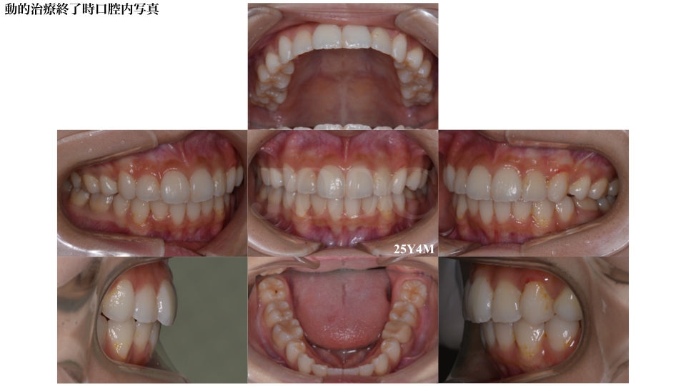
動的(歯を動かす治療)治療を終了し、ついにブラケットを口腔内より撤去を行いました。

 

現在、自分で取り外しが出来るマウスピース型の保定装置を使用して頂いております。

 

ブラケットを外した直後が後戻りといい元の位置に歯が戻りやすい状態ですので、頑張って保定装置を使用してください。

 

矯正治療に起こりうる一般的なリスクと副作用についてはこちら
費用の一覧についてはこちら